主页 > 新闻 >

德伦口腔中山八分院即将扩业升

2018年是德伦口腔走过的第八个年头,这些年间德伦口腔取得了累累硕果,仅仅是今年,已创造众多高光时刻:...

专家会诊日|享会诊,隐形牙套

笑容是一剂良药,可以治愈心灵创伤,可以消除世间烦恼。有人说,笑容很平凡啊,因为每个人都拥有,也有...

iTero口内扫描体验开放月 体验黑

爱美之心人皆有之,天生丽质毕竟只属于少数人,有人说矫牙堪比整容,可以赋予一个人二次人生。但是传统...

听正畸专家公开课 体验隐形牙

俗话说:三分相貌,七分微笑。但是,如果牙齿不整齐就只能尬笑了!牙齿不整齐,露齿笑显尴尬?想做矫正...

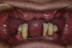
论种牙 还是过来人有发言权<

没有牙齿,一顿饭要吃一个小时,有些街坊种牙后痛了一个星期,有的街坊又说当天就能吃东西,种植牙是好...

口腔巨匠在德伦 专家种牙分享

八月盛夏来袭,德伦已走过八年历程,回顾这八年取得的成就,德伦始终坚持追求卓越的品质和先进的技术,...

特色项目

牙齿问题在线咨询 020-8378 2905

专家推荐

网上自助挂号

患者
须知

贯彻国家卫生部新医改政策,严格落实解决挂号难、看病难问题,开展网络自助预约挂号服务。

选择科室*

  • 种植科
  • 正畸科
  • 综合牙科
  • 儿童齿科

选择年龄*

  • 18岁以下
  • 18-30岁
  • 30-50岁
  • 50岁以上

口腔连锁品牌

专家预约热线:020-8378 2905
本网站信息仅供参考,不能作为诊疗及医疗依据
广州德伦口腔 粤ICP备11073526号